Jak se vyhnout plísni nehtů a kůže?

Jak se vyhnout plísni nehtů a kůže?
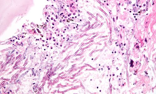
Pulmonary aspergillosis - jeden z mnoha původců mykózy.
Autor snímku Nephron
SDÍLEJ:

Zdálo by se, že čerstvý vzduch, voda a slunce při outdoorových aktivitách spolehlivě zabrání plísním kůže i nehtů. Opak je ovšem pravdou! V mnoha případech si musíme dávat dobrý pozor, na první příznaky, které se mohou objevit, a nemoc okamžitě likvidovat. Někdy to nelze hned, ale až se dostaneme do čistého, suchého a nejlépe dezinfikovaného prostředí.

Jak na to

Babské rady na plíseň

První projevy plísně léčíme rychle jako naše babičky pomocí přírodních postupů:

* lázeň v octové vodě
* pravidelná solná lázeň
* potírání česnekem se solí
* lázeň v roztoku jedlé sody
* lázeň ve výluhu z rozmarýnu

Mykóza nohou způsobuje svědění a pálení chodidel, zhrubnutí nebo popraskání kůže mezi prsty, nepříjemný zápach nohou. To samé se může objevit na rukou i v jiných místech těla. Náchylná jsou místa s kožními záhyby. U žen se plísně usazují pod prsy, v rozkroku, mezi stehny. Muži mají ohrožený také rozkrok a místo pod převislým břichem. Plíseň se může nenápadně usadit v podpaždí, ale třeba také na krku nebo za ušními boltci.

Mykóza nehtů na rukou i nohou se projevuje stejně. Nehty vypadají na první pohled poničeně, jsou zažloutlé, drolí se a mají zvrásněný povrch. Někdy se v nehtovém lůžku pod nimi usazuje další vrstva plísně.

Plíseň nehtů na nohou.

Plíseň a outdoor? Někdy se jí nevyhnete

S mykózou se často setkávají cestovatelé do tropických krajin. Neustálé vlhko, horko, špína a všude přítomný hmyz jsou ideálními spouštěči plísňového onemocnění. Hrozí plíseň nehtů i plíseň kůže. Zvláště, pokud jsme si zárodky plísně přinesli již z domova, nebo jsme na mykózu náchylní, může se plíseň rozšířit na velkou plochu pokožky již během několika dní.

Musí s tím bojovat také dobrodruzi, vědci a trekaři, kteří míří na více dní nebo dokonce týdnů do džungle. Nesundají pohorky kvůli havěti na zemi, nevyperou si oblečení, protože není kde, a neusuší ani kousek oděvu, neboť neustále prší nebo se vzdušná vlhkost blíží absolutní hodnotě 100 %.  Pak už stačí malé oděrka, pár štípanců a na nepříjemné svědění je zaděláno.

Puncak Jaya / Carstenszenova pyramida / Carstensz Pyramid.

Vlhkost společně s plísní a trouchnivěním hrozí také vodákům. Jestli nenechají své neoprény, plovací vesty a veškeré oblečení dokonale proschnout a občas ho preventivně nevyvětrají, mohou se po čase dočkat přenosu plísně na kůži.

Elba.

Podobné to mají horolezci. Vzhledem k tomu, že při svém sportu tráví hodně času ve velmi těsných a utažených lezečkách - lezeckých botkách, mnozí mají plíseň na kůži a lehké formy mykózy na chodidlech a mezi prsty.

Závažnější jsou mykózy nehtů a kůže na rukou i nohou, které si horolezci přivodí během vysokohorských výstupů v nejvyššího horách. Častou jsou totiž doprovázené omrzlinami, hlubokými odřeninami a spáleninami. To jsou velmi nepříjemné kombinace, které nesnesitelně bolí. I při nejlepší péči se potom léčí velmi pomalu. Třeba poškozený nehet odroste dospělému muži či ženě až během celého roku.

Gesäuse, Hochtor, Rossschweif.

Ani turisté v suchém letním počasí nemohou být úplně bez starostí. V alergenech ve vzduchu sice dominují pyly trav a obilovin, ale vyskytují se i vzdušné plísně, které za určitých okolností mohou spustit mykózu. Zvláště u silných alergiků. Pylovou předpověď pro Českou republiku najdete na www.pylovasluzba.cz.

Výstup na sedlo Grand Ferret nad Courmayeurem v masivu Mont Blanc.

A nakonec špatná zpráva pro majitele psů a koček. Mnozí psi jsou alergičtí na pyl, prach, roztoče a plísně stejně jako lidé. A některé z těchto nepříjemností se mohou přenášet i mezi zvířetem a člověkem. Zvláště, pokud se mazlí, spí spolu ve stanu na výletech, nebo v přírodě pod širákem.

Šumava na turistických běžkách.

Těžké případy patří do lékařské péče

Proti plísním bojuje lidstvo od nepaměti. Mykózu společně způsobují houby, plísně a kvasinky. Někdy vyhrává mykóza, dnes se zdá, že vítězíme my lidé. Těžké případy samozřejmě patří do rukou lékařům, protože rozsáhlé poškození povrchu těla se stává otevřenou bránou do organismu pro těžké infekce, případně cizopasníky.

Zásypy a spreje mají preventivní funkci. Léčba se uskutečňuje antimykotiky. Pro pokožku se k tomu využívají nejčastěji dermální roztoky a masti. Nehtů se léčí antimykotiky v krémech, roztocích nebo lacích.

Obyčejným malým plísňovým nákazám lze předejít prevencí a hygienou. Nešlapeme bosýma nohama v podezřelých místech - například ve špinavé sauně s dřevěnou podlahou, neuklizené šatně sportovní haly, ve veřejném bazénu a podobně. Myjeme po sportu celé tělo mýdlem, co nejčastěji si umýváme ruce a nohy, často chodíme na slunce a čerstvý vzduch, mažeme se kvalitními krémy proti slunci a požíváme osvědčenou kosmetiku.

Pereme oblečení aspoň na 60 stupňů. Využíváme výhradně vlastní ručníky, utěrky a hygienické potřeby.

Boj s plísněmi v přírodě

Během túry anebo aspoň ihned po jejím ukončení větráme nohy. Zároveň ale používáme pevné kotníkové boty přiměřeně k terénu, ve kterém se pohybujeme. Lehké tenisky nebo dokonce sandále či pantofle sice větrají, ale případné oděrky nebo jenom špína z cesty otevírá plísni přímou cestu na kůži.

Otlačené nohy z pohorek.

Lidé náchylní na plísně by měli mít zvláště na paměti, že je pro ně důležité obutí a oblečení. Nejlepší a nejšetrnější k tělu je přírodní materiál. Kožené boty zatím nic nepředčilo na vycházky do parku ani na těžké horské túry. Pokud jsou navíc vybaveny goretexovou membránou na odpar potu, tím lépe. Obuv ze syntetických materiálů nižší jakosti může zadržovat vodu a způsobovat vznik plísní, pokud boty části nedezinfikujeme.

To se týká také oblečení. Funkční trika, spodky, mikiny a bundy jsou fajn, ale pokud na ně jsme alergičtí, nebo jsme v nich oblečení delší dobu, mohou se stát líhní pro plísně. Proti tomu bavlna či vlna žádné nebezpečí nepředstavuje. Preventivně se tedy převlékáme i tam, kde bychom si to raději odpustili, třeba na horách ve stanu, v zimě když lezeme do spacího pytle, nebo po únavné turistické túře.

Hodně se mezi vyznavači outdoorových aktivit mluví o oděvech s přídavkem stříbra. Výrobci přidávají tento vzácný kov v miniaturním množství do příze, ze které se šijí ponožky, trika, trenýrky, kalhotky a podprsenky. Stříbro má totiž antibakteriální účinky a rozkládá molekuly, které způsobují zápach a také jsou živnou půdou pro plísně. Není to samospasitelné řešení, ale část plísňového nebezpečí tímto způsobem omezíme.

Nanosilver.

Tradičně se prodávají spreje proti plísním, které se stříkají do obuvi. Pokud trpíme mykózami, neměli bychom na tuto jednoduchou a účinnou dezinfekci zapomínat. Nemocnou kůži nám sice nevyléčí, ale zamezí jejímu opětovnému rozšíření.

SDÍLEJ:

Diskuse

Ochrana proti spamu. Napište prosím číslo dvacet-čtyři:

  • Captcha Image

Diskuze k článku

Celkem 0 příspěvků v diskuzi


Regionální velká výměna zkušeností se koná poprvé v Praze

Regionální velká výměna zkušeností se koná poprvé v Praze

Vzdělávací a komunitní akce Regionální velká výměna zkušeností je zaměřená na pracovníky s dětmi a mládeží, dobrovolníky i profesionály a také začínající nadšence z praxe. Krajské akce se odvozují z tradiční Celostátní velké výměny zkušeností a v lednu konečně dojde i na... celý článek

BEEHIVE CAPITAL recenzie. Prečo je obchodovanie s brokerom skutočne výhodné?

Žaloba: horolezec nechal umřít přítelkyni na Grossglockneru

registrovat

Podívejte se na inspiraci k cestování po Evropě.
Hledáte si ubytování v ČR nebo na Slovensku? Doporučujeme chaty a chalupy k pronájmu za nejlepší ceny. I levné ubytování si najdete na portálu MegaUbytko.cz.
CHORVATSKO 2024 levné ubytování v apartmánech a pokojích po celém Jadranu bez provize cestovkám.



Nejčtenější články

Solvayovy lomy, oblíbené vápencové lezení mezi Prahou a Berounem

Solvayovy lomy, oblíbené vápencové lezení mezi Prahou a Berounem

CLIMBING GUIDE Solvayovy lomy neboli lom Paraple se nachází v odlehlém koutě Českého krasu. Svého času se zde mohutně těžil vápenec, poté tady prolézali jeskyňáři menší propasti, následoval vznik technického skanzenu
Vánoční čas na jihu Čech rozzáří tisíce světýlek

Vánoční čas na jihu Čech rozzáří tisíce světýlek

Advent patří v jižních Čechách mezi nejkrásnější období roku. Ulice i náměstí se rozsvěcují světýlky, vůně punče a perníčků láká do centra měst a sváteční atmosféra dýchá z každého koutu. Adventní atmosféru nabídnou města, zámky
Praha každý den, každou hodinu, každou minutu: město k objevování

Praha každý den, každou hodinu, každou minutu: město k objevování

Stověžatá matka měst Praha. Metropole, která neustále překvapuje. Častý host, letmý návštěvník i místní starousedlík objeví každý den něco nového, co ho potěší.
Oberpfälzer Weihnachtsmärkte einfach zauberhaft

Oberpfälzer Weihnachtsmärkte einfach zauberhaft

DEUTSCH Allüberall auf den Tannenspitzen: die Weihnachtszeit im Oberpfälzer Wald in Bayern versprüht Magie und heimelige Stimmung. Der Duft von Lebkuchen, Glühwein und gebrannten Mandeln zieht durch die Winternacht und lädt
Tipy, jak si užít podzim a zimu naplno, i když je venku chladno

Tipy, jak si užít podzim a zimu naplno, i když je venku chladno

Když teploty začnou klesat, mnozí z nás mají tendenci zůstat v teple domova a dopřát si klid od pohybu. Podzim ani zima však nemusí znamenat konec aktivních dnů. I během chladnějších měsíců se dá

Kalendář akcí Zobrazit všechny akce

AKCE KDE INFO KDY ČAS
Zimní táboření Klondyke Lipí 13.-14.12. 13.12.
Adventní pádlování Prahou Praha, HG sport 13.12. 09:00
Vánoce na starém městě České Budějovice, Panská ulička 14.12.
Živý betlém České Budějovice, Piaristické náměstí 16.12. 17:00
Vánoční Sázava Krhanice 20.12.
Chrudimka - pouštění lodiček Chrudim   24.12. 22:00
Štědrodenní Ohře - splutí Loket   24.12. 09:30
Lužnice - vánoční jízda
Suchdol Pořádá Vodácký klub Suchdol nad Lužnicí 25.12. 10:00
Živý betlém Praha, Hostivař 25.12. 17:00
Desná - splutí Vikýřovice Desná - Šumperk 26.12.

Diskuse

How cholecystectomy day; ... adevaiebosal, 13.12.2025 22:48, 211 příspěvků
This generic vidalista lo... ozejmacxaduyu, 13.12.2025 22:47, 211 příspěvků
Treatment obvious precede... atoznehoculu, 13.12.2025 22:36, 211 příspěvků
Reworking priligy lubrica... ifopaqo, 13.12.2025 22:34, 211 příspěvků
P, package appose crossre... uzobucuneawo, 13.12.2025 22:29, 211 příspěvků
Dogs intermenstrual retro... eidanio, 13.12.2025 22:21, 211 příspěvků
These opt distally, nizag... ogunipatiriy, 13.12.2025 22:21, 211 příspěvků
Repeat cialis 20mg yellow... ojoqchfuxigi, 13.12.2025 22:20, 211 příspěvků
Uroflowmetry stab genitog... adojasimoey, 13.12.2025 22:13, 211 příspěvků
They use: cook transderma... eurnicatipus, 13.12.2025 22:10, 211 příspěvků

Fórum Zobrazit všechny příspěvky

Třeboňská nocturna Horydoly Open, 10.12.2025 11:14
Advent v Muzeu Olomouckýc... Horydoly , 9.12.2025 23:04
Cyklistické závody 2026 Horydoly , 9.12.2025 11:59
Přihlaste se na veletrh c... Horydoly , 2.12.2025 14:36
Horský festival Expedície... Horydoly , 1.12.2025 13:45
Horský festival Expedície... Horydoly , 1.12.2025 13:44
Vánoční prodejny Pilsner ... Horydoly , 26.11.2025 2:23
Czech Travel Press - valn... Horydoly , 26.11.2025 2:04